LB Ultrasonido
Perfil Hemodinámico Doppler Fetal
Perfil Hemodinámico Doppler Fetal
No se pudo cargar la disponibilidad de retiro
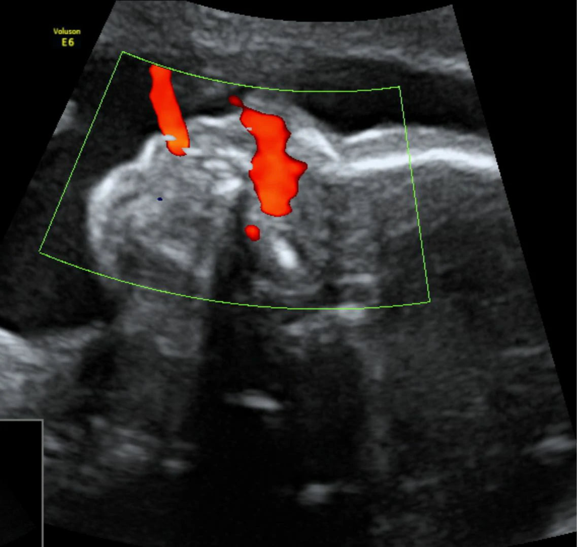
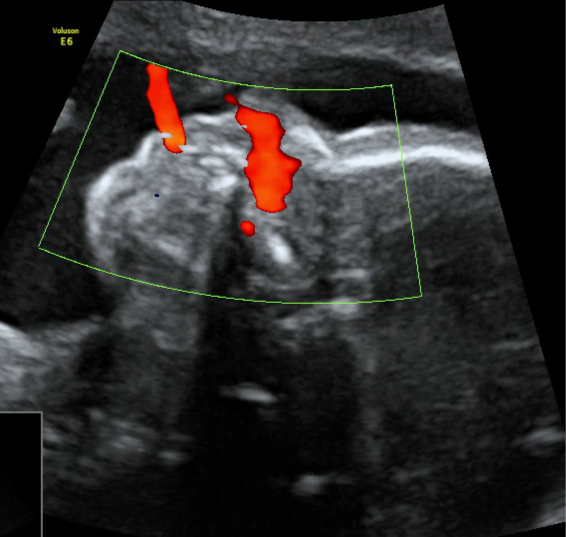
En LB Ultrasonido, nos especializamos en brindar evaluaciones integrales de la salud de su bebé, incluido el perfil hemodinámico Doppler fetal. Este avanzado estudio de ultrasonido permite a nuestros expertos analizar la circulación sanguínea fetal y placentaria, asegurando el bienestar de su bebé durante el embarazo.
El perfil hemodinámico Doppler fetal es un estudio de ultrasonido especializado que utiliza la tecnología Doppler para evaluar la circulación sanguínea en el bebé y la placenta. Este examen permite a los médicos detectar posibles problemas de flujo sanguíneo y asegurar que el bebé reciba suficiente oxígeno y nutrientes a través de la placenta. Es una herramienta valiosa para monitorear el desarrollo y bienestar fetal, especialmente en embarazos de alto riesgo.
Imagen: Imagen de un perfil hemodinámico Doppler fetal mostrando la circulación sanguínea en el cordón umbilical y la placenta.
El perfil hemodinámico Doppler fetal puede realizarse en cualquier momento del embarazo, aunque generalmente se lleva a cabo en el segundo y tercer trimestre. Algunas de las razones por las que se puede recomendar un perfil hemodinámico Doppler fetal incluyen:
-
Embarazos de alto riesgo, como aquellos con antecedentes de preeclampsia o restricción del crecimiento intrauterino.
-
Anomalías en la anatomía fetal detectadas durante un ultrasonido rutinario.
-
Complicaciones en la placenta, como insuficiencia placentaria o placenta previa.
-
Monitoreo de embarazos múltiples.
Share
